2026年2月27日
頬のできもの?
ジャンガリアンハムスター
1歳10か月 メス
「頬のできものと脱毛」
病院で見られた症状:
- 右顔面の突起と脱毛
ハムスターは高齢になると体表腫瘤(腫瘍など)がみられることがあります。ジャンガリアンハムスターの平均寿命は2年~2年半とされており、高齢になってきたら体表のできものも注意して目を向けなければなりません。
さて、このハムスターさんの頬のできもの(
) は何でしょうか?
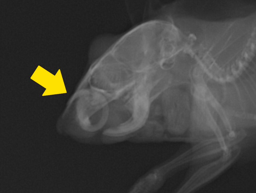
ハムスターさんの頬に硬く尖った突起のようなものがあります。
口を開いてみると、上の切歯(前歯)が長く伸び、湾曲して口の奧に入っていっています。
X線検査で確認すると、口腔内で1回転して顔面から飛び出しているのが分かります。
実は、これは切歯が伸びすぎて頬まで刺さってしまっている不正咬合の状態です。
ハムスターなどのげっ歯類の歯は常生歯と呼ばれ、常に伸び続けます。自分でものを噛むことによって常に削り続けることで生活しています。
しかし、切歯の不正咬合(歯並びが乱れ、嚙み合わせが悪くなる状態)を起こすと上手く歯を削れなくなり伸び続けてしまいます。
不正咬合は、疼痛や食欲不振につながる場合があります。重度の場合は、このハムスターさんのように口の中で切歯が一回転して周辺組織に刺さることもあります。
治療としては、外科的に過長した歯を切る処置を行います。ハムスターさんの性格によりますが、個体の性格や状態によっては、無麻酔下での切歯切断が可能な場合もあります。
ただし、歯の根元が既に変形しているため、一度処置を行ってもまた伸びてきた歯は自分では削ることができず、時間が経つと再び自分の組織に刺さる可能性があります。
どのくらい経つとどのくらい伸びるのかを確認しながら、生活の質を維持するため、歯の伸長速度を確認しながら定期的な切歯処置を行うことが理想的な管理方法となります。
ハムスターの頬の腫れやできものが見られる場合、歯の異常が原因となることもあるため注意が必要です。
このハムスターさんは約1カ月で写真のように伸びるため、3週間を目安に切歯処置による管理を行っています。


